Reciba la mejor atención en
cirugía oral
con la especialista Ariana Moreno

Consultas previa cita
Acuda con la Dra. Ariana Moreno Zavala y reciba la atención de una prestigiosa médico dentista especialista en cirugía maxilofacial en Culiacán, Sinaloa, con especialidad en cirugía bucal e implantología.

Cuenta con título y certificación como cirujano oral, lo que avala sus conocimientos y habilidades en la especialidad de cirugía oral, realizando procedimientos de la manera más eficiente y segura para el paciente.
La Dra. Ariana Moreno Zavala cuenta con equipo de vanguardia para garantizar un diagnóstico y tratamiento dental más conveniente para el alivio de enfermedades, lesiones o defectos que involucran el aspecto funcional y estético de la cavidad bucal y estructuras óseo-dentales.
Realiza una amplia gama de procedimientos de cirugía oral, incluyendo extracción de muelas del juicio, dientes y resto de raíces fracturadas, eliminación de granulomas (inflamaciones crónicas), extirpación de quistes maxilares, conformación del hueso y de encía, eliminación de frenillos labiales o del frenillo lingual, extirpación de glándulas salivales menores, toma de tejidos para análisis, entre otros.
Solicite su consulta con la Dra. Ariana Moreno Zavala y disfrute de una salud bucal integral. No olvide visitar nuestra página de Facebook para saber más de los tratamientos disponibles.

Cirugía oral e Implantología
Cuide su salud bucal con la mejor dentista especialista en cirugía maxilofacial
En el consultorio dental de laDra. Ariana Moreno Zavala brindamos la más completa gama de tratamientos dentales para ayudarle a lucir una sonrisa hermosa y saludable.
Acuda al consultorio de la Dra. Moreno, su especialista en cirugía oral e implantología en Culiacán y encuentre diversos tratamientos y servicios:
- Frenillos bucales
- Cirugía preprotésica
- Cirugía oral
- Cirugía periodontal
- Cirugía periapical
- Cirugía de muelas del juicio
- Caninos retenidos
- Patología oral
- Infecciones odontogénicas
- Hiperplasia
- Quistes maxilares
- Tumores benignos
- Implantes dentales
- Mini implantes ortodónticos
- Reimplantes y trasplantes dentarios

Solicite su consulta con la Dra. Ariana Moreno Zavala y cuente con la asistencia de una médico dentista especialista en cirugía maxilofacial en Culiacán, Sinaloa, especialista en cirugía bucal e implantología.
SONRISA GINGIVAL
Se conoce como “sonrisa gingival” la exposición exagerada de la encía al sonreír, y es uno de los problemas que afectan negativamente la estética de la sonrisa, haciendo que quien la sufre muchas veces evite reírse.
Esta elevación excesiva del labio superior suele ser a causa de una hiperactividad muscular en esta área, por lo cual la toxina botulínica (Botox) corrige dicha alteración. Los beneficios de esta intervención en pacientes con sonrisa gingival son muy interesantes, sobre todo los asociados a la satisfacción del paciente.
El procedimiento tarda tan solo 5 minutos (sin dolor) y los resultados son casi inmediatos

Chasquidos al abrir la boca, mandíbula dolorida al despertar, dolores de cabeza y dientes desgastados son algunos de los signos que pueden revelar que se tiene una disfunción en la articulación temporomandibular (ATM).
Los síntomas que provocan esta disfunción son dolor agudo y crónico dentro o delante de los dos oídos que se irradia a la cabeza, cara, piezas dentales, mandíbula, boca, garganta, nuca, cuello, hombros y brazos. También el paciente puede sentir ruidos articulares, como chasquidos, crujidos, zumbidos o pitidos.

El tratamiento alternativo con Botox para los trastornos de la ATM (articulación temporomandibular) y la tensión mandibular, generalmente es rápido, sencillo y efectivo.
Al ser un procedimiento no quirúrgico, las inyecciones de Botox se administran en el consultorio del médico, y el tratamiento no requiere hospitalización. La mayoría de los pacientes experimentan mejoras notorias uno o dos días después de la primera aplicación, aunque puede que el alivio se produzca a lo largo de una semana.
TRATAMIENTOS
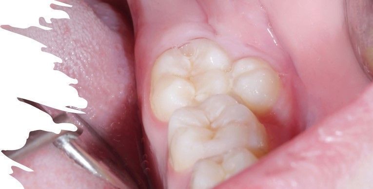
Cirugía tercer molar
Tracción quirúrgica de canino incluido en paladar
Mucocele en labio inferior
Botox en disfunción de articulación temporomandibular
Frenillo lingual corto
PADECIMIENTOS
Tumores en cavidad oral
Se trata de lesiones tumorales benignas o malignas que aparecen en la cara en estructuras como la piel, órbita, fosas nasales, senos paranasales, boca o las glándulas salivares, las cuales no sólo requieren extirpación completa, sino la reconstrucción de los tejidos resecados.
Caninos retenidos
Los caninos superiores, también conocidos como colmillos, en ocasiones suelen quedar retenidos en la encía y no erupcionan en su posición original. Esto es ocasionado por, entre otras cosas, falta de espacio en la mandíbula, otros dientes que estén en su camino o una malposición del diente.
Mediante técnicas de tracción de canino y tracción ortodóntica se puede corregir la posición de los caninos superiores.
Quistes maxilares
Se trata de una lesión benigna con forma de saco o bolsa, la cual está recubierta por un epitelio. Este tipo de lesión puede, en ciertos casos, destruir el hueso y provocar movimiento de los dientes.
Generalmente, no presentan dolor, pero en casos más severos se puede producir un abombamiento de la estructura ósea, infección en la zona y hasta fractura de la mandíbula, en caso de que el quiste sea de gran tamaño.
Lo recomendable es realizar un procedimiento quirúrgico de extirpación para evitar su crecimiento. Un
cirujano dental o maxilofacial podrá realizar este procedimiento.
Dientes supernumerarios
Se trata de aquellos dientes que salen de más. Son asintomáticos y es un padecimiento muy común. A través de una radiografía con el odontólogo especialista se podrá detectar esta anomalía.
Se presentan síntomas como el retraso en el crecimiento de los dientes habituales, apiñamiento dental, oclusión dental, quistes, caries dentales, entre otros. Su tratamiento más indicado es la extracción.
Terceros molares o muelas del juicio
Durante la salida de estas piezas dentales, por falta de espacio, muchas veces no se logra su erupción completa debido a una enquistación, lo cual puede generar dolores o molestias en el paciente.
Para evitar infecciones, quistes foliculares o diversos dolores en el paciente, se sugiere la extirpación de las muelas del juicio.
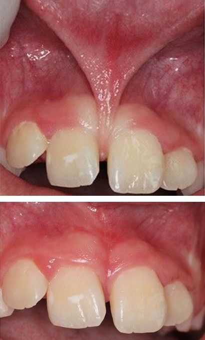
Frenillo labial superior corto
Su aparición en niños es causada debido a el hueco que se produce entre dos dientes, también denominado diastema. Si el infante tuvo problemas en la lactancia provocados por este frenillo, es probable que se presenten también problemas dentales, por lo que se sugiere rutinas efectivas de higiene para prevenir la acumulación de bacterias en la zona.
Como tratamiento se sugiere realizar una frenectomía, la cual es una operación sencilla y poco invasiva con anestesia local. Como acompañamiento a este procedimiento, se sugiere la ortodoncia para corregir el hueco entre los dientes causado por el frenillo.
Frenillo lingual corto
Cuando el frenillo lingual es corto y altera la movilidad de la lengua, el niño puede presentar problemas al alimentarse (por ejemplo, al amamantar), en su forma de hablar o se podría generar una mal posición de los dientes anteroinferiores.
Para este caso se sugiere una frenectomía, que consiste en extirpar o desinsertar el frenillo, lo cual se puede realizar bajo anestesia local o general.
Verrugas por VPH
El Virus del Papiloma Humano es el causante de la aparición de verrugas en la mucosa bucal, esto ocurre debido al contacto directo con lesiones genitales con una persona infectada con el VPH.
Se pueden notar lesiones o pequeñas verrugas blanquecinas en la boca o garganta y su tratamiento se da mediante láser, cirugía, crioterapia o diversos medicamentos.
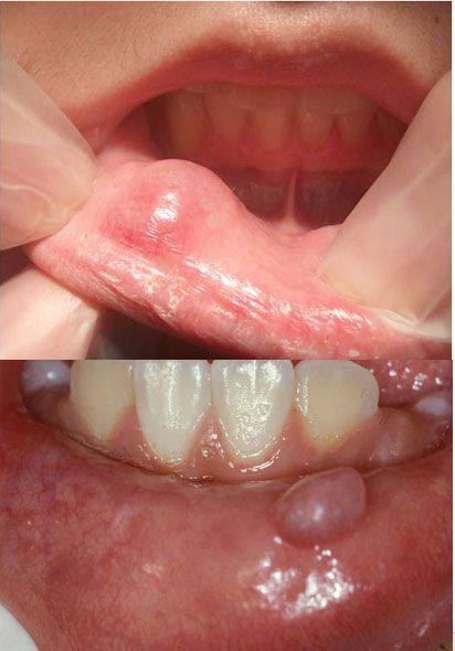
Mucocele en labio
Se trata de una lesión benigna muy común que se origina debajo de la acumulación de saliva de los tejidos blandos del labio. Se produce, entre otras cosas, por morderse repetidamente el labio, recibir un golpe o cualquier otro tipo de trauma.
Su tratamiento se da mediante la extirpación quirúrgica, en caso de que la lesión sea dolorosa o de gran tamaño.
Regularizaciones de reborde óseo
En ocasiones hay zonas del hueso alveolar, que es el hueso donde se encuentran los dientes, que están irregulares, y debido a esto, generan dificultades para la instalación de una prótesis pues, cuando se hace contacto, se produce inflamación e irritación del tejido.
Este problema es tratado mediante una intervención quirúrgica sencilla llamada regularización de reborde alveolar, la cual se indica cuando existen relieves anormales que impiden el correcto asentamiento de una prótesis, generen úlceras, irritación y/o inflamación. Esta intervención es realizada por el
Cirujano Oral y Maxilofacial bajo anestesia local.
Fibromas orales
También son conocidos como hiperplasia reactiva. Se trata de un tejido cicatricial duro y liso que por lo general es del mismo color que el interior de la boca.
La mayoría de los fibromas orales se desarrollan a partir de un traumatismo o irritación localizada en la lengua, los labios, las encías o el interior de las mejillas. Se pueden extirpar mediante escisión quirúrgica con bisturí o láser.
Lo que nuestros pacientes opinan:
Muy buena doctora. Muy recomendada, ya que explica muy claro toda la consulta. Cuando me operó me fue muy bien, no sentí dolor en la cirugía y después de la misma me recuperé muy pronto.
Me realicé dos cirugías de la muela del juicio con la Dra. Moreno y me fue súper bien en la recuperación, no me dolió; aparte la Dra. es una persona muy amable y profesional. Muy recomendable su trabajo.
Gracias a la Dra. por su amable atención. La recomendaré siempre, muy buena cirujana.
Excelente atención y su trabajo muy profesional. Te explica todo muy bien. Recomendada ampliamente.
Excelente cirujana, buen trato y muy profesional. Totalmente recomendable.
Me hizo una cirugía de un canino que tenía en el paladar y excelente atención, sin dolor, además es muy clara en sus explicaciones. Totalmente recomendable. ¡Gracias, Dra.!
Excelente profesional y además usa productos de calidad y lo más nuevo en tecnología. Muchas gracias por todo, Dra.
Muy buena cirujana, muy profesional. Excelente su trabajo, simplemente una de las mejores en Culiacán.
Muy buena doctora, Me realizo una extracción de tercer molar. Específica, atenta y con seguridad, sabe el trabajo que realiza. ¡Feliz de encontrar especialistas comprometidas!
Conoce nuestras instalaciones
A la vanguardia en cirugía oral e implantes dentales
Acuda al consultorio dental de la Dra. Ariana Moreno Zavala para obtener el diagnóstico y tratamiento más eficaz para mejorar su salud y estética dental.
Aproveche nuestras promociones para tratamientos dentales en Culiacán, Sinaloa, y cuente con el respaldo de una médica dentista especialista en cirugía maxilofacial con especialidad en cirugía oral e implantes dentales.
¡Le atenderemos con gusto!
Contáctenos
Agende una cita llamando al:
- Lun - Vie
- -
- Sábado
- -
- Domingo
- Cerrado
























